Industries Pulse
Judicial Updates: Labour Law
Official Orders Hub
Judicial Insights
Trade Trends
Article Arena
Bharat Bulletin
Current Lens
Power Dynamics
Champions Chronicle
Editor’s Eye
Green Pulse
Insightful Exchanges
Mixed Mosaic
Vital Wellbeing
True Unveiled
Inner Journey
Wanderlust Window
Cultural Canvas
Beyond Borders
Digital Reads
Current Lens
Home
News
Current Lens
Lok Sabha Approves Bill to Repeal 71 Obsolete Laws, Streamlining India’s Legal Framework
India to Conduct Its First-Ever Digital Census in 2027
Inland Waterways Development on 11 Rivers to Transform Transport and Tourism in Uttar Pradesh
Industrial Growth in Uttar Pradesh: From Scale to Systems
India Emerges as a Leading Contender to Become One of the World’s Top Three Digital Tech Powerhouses
ISRO’s ‘Baahubali’ Rocket to Launch American Satellite into Space
GST Reforms Reduce Inflation by 25 Basis Points, Report Finds
Mutual Fund Assets in India Projected to Cross ₹300 Lakh Crore by 2035
Pilot Association Urges Suspension of Air India’s Dreamliner Flights
Protecting Children’s Rights: Even a Harsh Look Can Be Considered Abuse
Satellite-Based Toll Collection System Deferred Amid Privacy Concerns
Noida International Airport: India’s Next Big Economic Engine
Digital Connectivity: The Lifeline of Modern India
India to Procure Advanced Weapons Worth ₹79,000 Crore for All Three Armed Forces
Digital Transactions Account for 99.7% of All Payments in 2024
NPCI Admits Initial Glitches in New Cheque Clearing System
India’s Organized Gold Loan Market Set to Reach ₹15 Lakh Crore by March 2026
India’s Unemployment Rate Drops to 2%, Lowest Among G20 Nations: Mandaviya
UPI Signs Landmark Agreement with Universal Postal Union to Revolutionize Cross-Border Payments
Authorities Ordered to Measure and Clear Encroachments Around Pond in Ghaziabad
UP Government Announces Subsidy of Up to ₹40 Crore for Farm-Stay Projects
100 Years of RSS: Legacy, Transformation, and the Road Ahead
“A Nation’s Birthday Gift: Honoring Modi’s Vision and Legacy”
First Human Trial of Antibody Therapy Offers New Hope for Lung Cancer Patients
India to Begin Domestic Solar Cell Production Within Three Years: Joshi
AI Can Now Predict Over 1,000 Diseases in Advance
Apple Launches Thinnest and Lightest iPhone Air Alongside iPhone 17 Series
India to Establish Its Own Space Station by 2035, Says ISRO Chief
Silver Hallmarking to Become Mandatory Nationwide Within Six Months
Government to Closely Monitor Companies That Fail to Pass On GST Benefits to Consumers
Employees Channel Extra Income into Savings and Investments After Tax Relief
Uttar Pradesh Sets Ambitious Target of Becoming a $6 Trillion Economy by 2047
Two-Wheeler Sales Expected to Rise 5–6% After GST Cuts
Foundation for a Developed India Being Laid: PM
India Could Become World’s Third-Largest Economy by End of FY 2025–26: Finance Minister
GST Reforms to Boost Additional Consumption Worth ₹20 Lakh Crore: Vaishnav
Housing Demand Expected to Rise with GST Cuts on Construction Materials
Tax Reductions Could Lower Agricultural Costs by One-Third
Car and Two-Wheeler Prices May Drop by 8–12% After GST Cuts
IPL Tickets Classified as Luxury, Now Attract 40% GST
Lower Taxes Could Pave the Way for a Healthier India
GST Council Brings Relief with Simplified Tax Structure and Wide-Ranging Cuts
Government to Ensure GST Cuts Benefit the Common Man
Chips and Processed Snacks May See Pack Size Increase Instead of Price Cuts
Domestic Demand to Offset Impact of U.S. Tariffs, India’s GDP Growth Expected to Continue
Government Employees Can Now Avail Home Loans Up to ₹25 Lakh
Cyber Headquarters to Be Established in Uttar Pradesh: Yogi
Modi to Shubhanshu: “Your Achievement Makes the Nation Proud”
“Streamline Biometric Process,” Says Delhi High Court
Household Land Rights to Get Legal Recognition, Banks Will Now Provide Loans
C. P. Radhakrishnan Elected 15th Vice President of India
India Successfully Tests Agni-5 Missile with 5,000 km Range
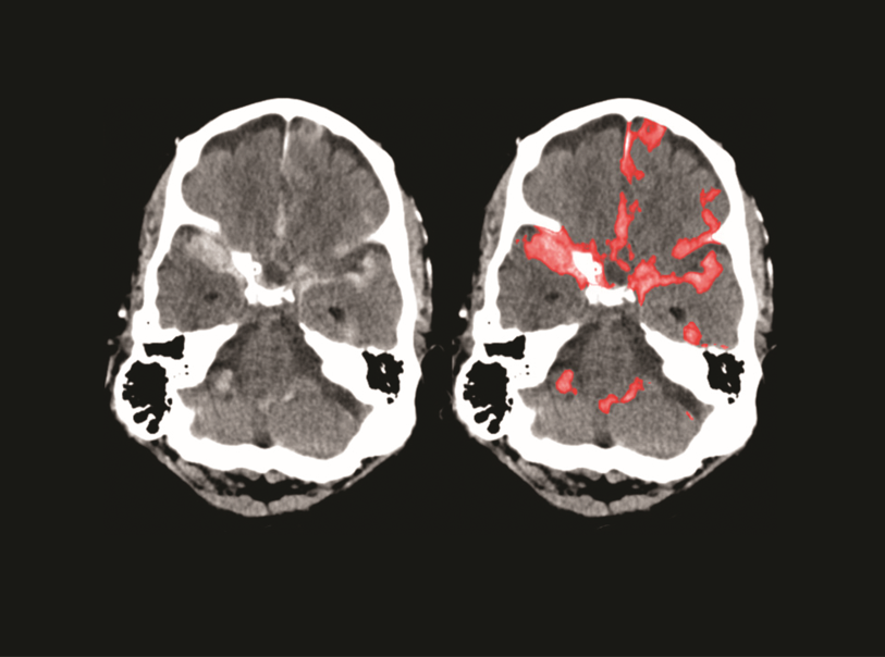
No CT Scan Needed: New Device Detects Brain Hemorrhage in Just Two Minutes
AI-Developed Drugs Show Promise Against Antibiotic-Resistant Bacteria
ChatGPT Surpasses Competitors in Revenue Growth
India to Introduce Semiconductor Education at School Level
Venus Is the Next Goal, Says ISRO Chief Narayanan
Middle Class and Farmers to Benefit from GST Rate Revisions
RBI to Introduce Faster Cheque Clearance from October 4, 2025
ICICI Bank Sets ₹50,000 Minimum Balance for New Savings Accounts from August 1, 2025
India Poised to Boost Exports Further in FY 2025-26: Piyush Goyal
Relief for Taxpayers: Refunds to Be Issued Even for Delayed Returns
India Projected to Become World’s Second-Largest Economy by 2038
Rise in Digital Transactions Reduces Waste of Currency Notes
Banks Free to Decide Minimum Balance for Savings Accounts: RBI Governor
NPCI to Disable Peer-to-Peer ‘Collect Request’ Feature on UPI from October 1, 2025
Successful Test of New Akash Prime Version Conducted in Ladakh
Hotels Can Now Be Built on Any Land Except Green Belt in Uttar Pradesh
Government Tightens CSR Norms for Non-Profit Organisations
Uttar Pradesh Makes Big Leap in Swachh Survekshan; Lucknow Ranked Third Cleanest City in India
Noida and NDMC Shine in Swachh Survekshan 2024; Indore Retains Top Spot for Eighth Time
Indian Exports Risk Losing Competitiveness in U.S. Market Amid Steep Tariff Hike
U.S. and EU Importing LNG from Russia While Advising India to Cut Purchases
India’s Quiet Resilience: “Don’t Give In, Wait It Out” Strategy Amid Trump’s 50% Tariffs
Pakistan Unlikely to Deepen U.S. Ties at the Expense of China, Say Chinese Experts
Indian Exporters Fear Losing U.S. Market Access After Steep Tariff Hike
Trump Organization Earned ₹1,800 Crore from Indian Real Estate in 10 Years
Tariffs May Impact Growth Rate, But Also Offer an Opportunity for Development
India Reassesses Trade Offers as 50% U.S. Tariffs Loom, Safeguards Agriculture and Dairy
Tariff Tensions Backfire? John Bolton Warns Trump’s Strategy May Strengthen India’s Ties with Russia and China
India Adopts Firm Stand Against Threats as Diplomatic Relations with U.S. Strain
What India can — and cannot — do quickly Likely moves under discussion in New Delhi:
India–U.S. Tariff War: What Changed, Who Gets Hit, and What Comes Next
ChatGPT Creator Sam Altman Expresses Concerns Over AI and Data Privacy
Scientists Claim Discovery of a Water-Rich Exoplanet
Breakthrough: China Produces First Cloned Yak
CBDT Clarifies: Taxpayers’ Emails and Laptops to Be Checked Only During Search Operations
Lower Tax Burden and Stable Inflation Expected to Boost Rural Consumption
India Strengthens Global Economic Position, Contributes 6.7% to World Growth in 2024–25
Possible Changes in Income Tax Refund Rules Under Consideration
One in Four Quick-Commerce Customers Now Comes from Smaller Cities
New Income Tax Bill 2025 Removes Redundant Provisions, Simplifies Structure
NTPC and NLC to Invest ₹27,000 Crore in Renewable Energy Projects
No Additional Charges for Prepaying Loans from January 2026, Says RBI
25 IPOs This Year Reward Investors; Sambhav Steel and Quadrant Lead the Gains
Majority of Sectors Indicate Signs of Recession Despite Policy Support
Gold Prices Could Rise by 15% by December, Says World Gold Council
Banks to Use GSTN Data for Loan Approvals, Reducing Dependence on CIBIL Scores
Indore to Become First City Where Every Home Has a Digital Address
Cyber Security Rules to Be Revised to Curb Digital Fraud
Robots to Feel Heat, Cold, Injury, and Pain with New Artificial Skin
Cement Demand Expected to Rise 6–7% This Year
Home Sales Fall 32% in Seven Major Indian Cities During First Half of 2025
Eight Years of GST: Simplicity Still Elusive Despite Repeated Attempts
Vigilance While Buying Motor Insurance Can Help Avoid Losses
India on Track to Become $5 Trillion Economy by 2027: Piyush Goyal
85% of Entrepreneurs View GST Positively: Survey
Real-Time Bank Account Verification to Speed Up Tax Refunds
Speed Up GST and Customs Refunds: Finance Minister Sitharaman
New RBI Rules on Gold Loans to Transform Business Model
Investment Applications Without PAN Card Will No Longer Be Accepted in Uttar Pradesh
No Proposal to Impose Fees on UPI Payments: Finance Ministry Clarifies
E-Shopping to Be Included in India’s Inflation Index for the First Time
Pan Masala Manufacturers Face NGT Notice for Violating Plastic Waste Rules
Sindoor Farming Shines in Saharanpur with 'Operation Sindoor'
‘Rain Warriors’ Sought to Revive Parks and Green Belts in Greater Noida
Challenges Remain Ahead for the Government Despite Achievements
India’s Villages Witness Digital Revolution: 11 Years of Telecom Transformation Under Modi Government
11 Years of Modi Government Marked by Landmark Achievements: Rajesh Kumar Garg
Amit Shah: Modi Government Sets New Benchmarks in Good Governance
Major Achievements in 11 Years: Nation First – National Security and Foreign Policy
Modi Transformed the Political Culture of India: JP Nadda
Modi Launches Nationwide Survey to Evaluate Good Governance on Completion of 11 Years
“Era of All-Round Achievements”: Amit Shah Hails Modi’s Tenure as a Golden Period of Public Service
BJP Marks 11th Year in Power — Transformation, Controversy, Road Ahead
India Reaches New Heights: World's Tallest Railway Arch Bridge Inaugurated in Kashmir
NGOs Receiving Foreign Funding Barred from Publishing News Content: Home Ministry
Global Agencies Confident in India's Growth Rate Despite Tax-to-GDP Concerns
Police Commissionerate Officers Can Now Issue Traffic Challans: Tribunal Rules in Favor
Rajasthan to Build Expressways Inspired by Uttar Pradesh Model
India Transforms from Arms Importer to Global Defence Exporter
Mizoram Becomes India’s First Fully Literate State
Victims of Cyber Fraud Can Now File e-Zero FIRs Online: Amit Shah Announces New National System
Mandatory Biometric Update for Children to Be Done Directly at 12 Aadhaar Seva Kendras
Toilets for Women Now Mandatory at All Petrol Pumps in Uttar Pradesh
Dr. Praveen Ranjan Appointed Additional Police Commissioner of Gautam Buddh Nagar
Smart Cap Brings Light to the World of the Visually Impaired
Buyers Left Without Basic Facilities Despite Paying Premium Prices for Flats in Siddharth Vihar
NIA Urges Public to Share Photos, Videos Related to Pahalgam Terror Attack
UP Government Orders Transfers for Staff Serving Over 3 Years in One District
India to Develop Advanced 'Cloud Chamber' to Direct Rain Clouds to Drought-Prone Areas
ISRO Achieves High-Impact Space Missions on a Modest Budget; Continues to Inspire Globally
DRDO Develops Breakthrough Technology to Convert Seawater into Potable Drinking Water
India to Conduct First-Ever Space Habitat Experiment; Astronaut Sunita Williams to Play Key Role
RBI Approves Record ₹2.68 Lakh Crore Dividend to Centre for FY 2024–25
Mutual Fund Industry’s AUM Grows by ₹12 Lakh Crore in a Year, Reaches ₹65.74 Lakh Crore
India’s Smartphone Exports to the U.S. Jump Fivefold in Three Years
Vodafone Warns It Cannot Operate Beyond Next Fiscal Without Government Support
India to Remain Fastest-Growing Major Economy Despite Slight Dip in 2025 GDP Forecast: UN Report
Government to Provide Cashless Treatment up to ₹1.5 Lakh for Road Accident Victims
Income Tax Return Filing Deadline Extended to September 15 for AY 2025–26
New UPI Rules: No Payment Will Go to the Wrong Person, Even by Mistake
Individuals Earning up to ₹1.25 Lakh in LTCG Now Eligible to File ITR-1
Delays in Regulatory Approvals Create Uncertainty: Finance Minister Nirmala Sitharaman
60 World-Class Labour Chowks to be Built Across 17 Municipal Corporations in Uttar Pradesh
Waqf Amendment Act 2025 Comes into Force Nationwide
Indian Youth Now Prefer Entrepreneurship Over MNC Jobs: RBI Deputy Governor
Shops Can Now Be Built on Residential Plots; Construction Regulations Eased by State
Make Single Window System Efficient and Transparent: Yogi Adityanath
Painting a Future – Students Lead the Way
Knowledge as Catalyst – Expert Voices
Hindon Aradhana – Lighting a Spiritual Spark
India Gives Free Hand to Armed Forces: Stern Action Promised After Pahalgam Attack
Armed Forces Given Full Freedom for Retaliation
Sindoor of Vengeance: Modi’s Message is Clear
India Now Equipped for Certification and Testing of Solar Panels
NISAR Satellite to Provide Precise Data on Crops and Soil Conditions
UP Increases Road Tax by 1% on Purchase of Private Vehicles
World Bank Also Lowers India’s Growth Forecast Amid Global Uncertainty
India’s GDP Doubled in the Last 10 Years: IMF
Two Railway Companies Granted 'Navratna' Status
Descendant of Maharana Pratap, Arvind Singh, Passes Away
Jewar Airport to Be Connected to Ganga Expressway
Starlink Set to Launch Services in India Soon
Threats & Major Issues Affecting the Hindon River
River Restoration Case Studies
Pollution Levels in the Hindon River
The Hindon Basin and Its Importance
Using an Android Mobile? Stay Extra Cautious of Cyber Crimes
SEBI Tightens IPO Rules for SMEs: ₹1 Crore Profit Required in Two Years
All Income Tax-Related Offenses Can Now Be Resolved Through Settlement
Wages Failing to Keep Up with Inflation, Says NITI Aayog Member
Income Tax Crackdown: Authorities to Investigate Discrepancies in Returns, Digital Transactions, and Social Media Posts
Ratan Tata's Legacy: ₹500 Crore in the Name of an Entrepreneur
Regular Flights from Jewar Airport to Begin in April: Naidu
UP to Introduce Fixed Work Hours for Drivers, Breath Tests at Tolls
Expanding Road Connectivity in Western Uttar Pradesh
Uniform Toll Policy in the Works for National Highways: Gadkari
MALTESE CUISINE: A FUSION OF FLAVORS
Language and Cultural Identity of Malta
EMBRACING MALTA'S PAST, PRESENT, AND FUTURE: A COMPREHENSIVE REFLECTION
ECONOMIC DIVERSIFICATION AND INNOVATION IN MALTA:
NURTURING MALTESE IDENTITY: OPPORTUNITIES IN A GLOBALIZED WORLD
MALTESE CONTRIBUTIONS TO WORLD HERITAGE: A RICH TAPESTRY OF CULTURAL AND HISTORICAL SIGNIFICANCE
India's First Hydrogen Train to Be Among the World’s Longest & Most Powerful: Vaishnaw
Social Media Users Lead in Digital Asset Earnings
New ‘.bank.in’ Domain to Curb Cyber Fraud, Launch in April
Interest Rates Reduced After 5 Years, EMIs to Get Cheaper
Travel to Get Easier with Four New Expressways in Uttar Pradesh
Uttar Pradesh Becomes India’s Second-Largest Economy in Just 8 Years
Roadmap from 2025 to 2050: UP’s Vision for Growth
India’s Total Trade to Reach $1.8 Trillion by 2033: BCG Report
Government Unveils Plan to Industrialize North India
Master Plan for International Film City Approved
India and Maldives to Collaborate on Maritime Security
Narayanan Takes Over as ISRO Chairman
India Strengthens Maritime Security with Indigenous Warships
Agriculture to Drive Economic Growth in Budget 2025-26
₹10,000 Crore Fund to Boost Startups in Budget 2025-26
₹1 Lakh Crore for Urban Development and Housing Revival
Social Security and Health Insurance for Gig Workers
Budget 2025-26: Tourism and Railways as Key Job Creators
Expansion of Medical and IT Education Seats to Boost Employment
Empowering Women Entrepreneurs with Financial Assistance
Revamped MSME Definition Brings New Opportunities for Investment and Employment
Key Announcements from Budget 2025-26
Relief for the Middle Class
Budget 2025-26: Major Tax Relief for the Middle Class, Economic Growth in Focus
India to Develop AI Model Superior to Deep Seek Within a Year
India Develops Advanced Equipment to Prevent Railway Accidents
Prime Minister Narendra Modi's Message:
Well Done, ISRO! India Creates History in Space Technology
Complaints Against Banks and Financial Institutions Surge by 32.8%, Reaching 9.34 Lakh
Resolve All Pending GST Cases by March
Architects and Investors of Burj Khalifa to Collaborate with ITGNL
UP Schools to Remain Closed on February 12 & 26:
Budget An Overview
Madras high court says unwelcome office behaviour is sex harassment
Centre convenes meet with all states to hasten labour codes roll-out
China Unveils Revolutionary Laundry Robot: The Future of Household Chores
Russia Develops Cancer Vaccine, Launch Expected Next Year
India to Build Its Space Station by 2035, Astronauts to Land on the Moon by 2040
Israel to Use Kanpur-Made Shells Against Enemies
Justice Ram Subramanian Appointed as the New Chairperson of the National Human Rights Commission
Policy Continuity Will Be Maintained: Sanjay Malhotra
India to Witness a Major Boost in Automobile Manufacturing
Hyundai Motor India Boosts EV Infrastructure with 600 New Charging Stations
India Streamlines Rules for Oil and Gas Exploration in Forest Areas
India’s Robust Manufacturing Sector: A Catalyst for Growth and Modernization
"Humare Ram" Revives Ramayana with Theatrical Brilliance
Celebrating a Stalwart of Indian Cinema: Omkar Nath Sharma
The New Great Wall: A Monument to Sustainability
Kazanqi: A Tapestry of Culture and Tranquillity in Xinjiang
Guardians of History: The Wang Family and the Tiefo Temple
India-China Talks Signal Broader Consensus for Improved Relations
Apple in Talks with Tencent and ByteDance to Roll Out AI Features in China
"China’s AI Industry Races to Compete with Global Leaders Despite Challenges"
"Modi-Xi Meeting Ushers in a New Era of India-China Relations, Says China"
Unravelling China’s Economic Miracle: Lessons from an Unprecedented Growth Journey
"China's 2025 Blueprint: Redefining Global Leadership Through Innovation and Sustainability"
"The Most Successful Doctor of Economy"
Tax Relief Likely for Individuals Earning up to ₹15 Lakh Annually"
Domestic Sports Industry Seeks Inclusion in Special Category for Growth
Rail Safety to Receive Its Highest-Ever Budget Allocation
Bhadohi’s Carpet Industry Struggles Amidst Government Neglect
20 New Nuclear Power Plants to be Built in the Country: Khattar
India Joins the Elite Group of Countries with Successful Testing of Hypersonic Missile
Preparations Underway to Establish an Austrian Township in Gautam Buddha Nagar
India Introduces Upgraded PAN 2.0 with QR Code Features
"Your Education is the Most Valuable Investment of Your Life"
The Constitution: A Guide to the Present and Future - Modi
Preparations Underway for New Film City in Greater Noida
Indigenous Bullet Trains to Connect Major Cities in India
First Aircraft Lands at Gautam Buddha Nagar’s Soil: A Milestone
Air India Places Order for 100 Additional Airbus Aircraft
Government Plans to Introduce Sports Bill in Next Budget Session: Mansukh Mandaviya
Kanpur’s Leather Industry Seeks Tax Relief to Boost Exports
Apparel Industry Calls for Support Amid Rising Challenges
Banarasi Saree Industry Demands Textile Park for Growth
"Budget 2025: A Lifeline for Auto Parts, Banarasi Saree Zari Work, Footwear, and Apparel Industries Amid Challenges"
Decoding Budget 2025: Understanding India’s Fiscal Blueprint
Artificial Intelligence Transforms the Business Ecosystem
Fraud Causing Millions in Losses: Recognize Fake Messages by These Three Keywords
Microorganisms in the Body Will Reveal if You Are at Home or Somewhere Outside
Easier Identification of Hazardous Chemicals in Firecracker and Paint Factories
NVIDIA and Reliance to Build AI Computing Infrastructure in India
No More Financial Barriers for Meritorious Students: Up to ₹10 Lakh Loan for Higher Education
$500 Billion Investment Planned for India’s Solar Energy Sector
Online Companies Must Sell Valid Food Products for a Minimum of 45 Days
Half of the Country's Young Women Are Without Work or Skills
FCRA Registration Can Also Be Revoked in These Situations
Samsung Workers to Resume Duties; No Pay for Strike Days
Moving Towards Satellite-Based Internet
India to Become Telecom Product Manufacturer: Scindia
Hallmarking Mandatory for Gold Before Jewellery Creation
Center Redesigns 'She-Box' to Simplify Reporting Sexual Harassment
Indian Experts Excited About America's New NSA Appointment
India to Be in a Better Position than China in Trade with the U.S.
Musk Earns 10 Times Trump’s Wealth in Seven Days
Indians to Benefit if Trump Becomes President Again
The "Trump Card" Plays Again in America
"Trump's Triumphant Return: What It Means for the U.S., India, and the World"
Action Will Be Taken Against Those Misusing PAN
Loan Limit Under Mudra Scheme Increased to ₹20 Lakh
Dhanteras Delight: 102 Tonnes of Gold Shifted to India, Says RBI
RTGS to Enable Transactions in Euro and Dollar Soon
Tax Officers Granted Permission to Waive Interest for Taxpayers
No GST on Health Insurance Premiums Up to ₹5 Lakh Ministerial Group Agrees on 18% GST Exemption for Health Insurance Premiums
All Industrial Areas Exempt from Double Tax
50-30-20 Rule: A Guide for Budgeting Between Income, Spending, and Savings
मिठाई के डिब्बे सहित तौल करना नियमों का उल्लंघन एवं दण्डनीय अपराध: श्री हर्षवर्धन सिंह
Trade Shows to be Held in Every Division: Rakesh Sachan
UP Has the Highest Number of MSME Units: CM Yogi
American Company to Establish Semiconductor Manufacturing Unit in YEIDA Region
Semicon India 2024: A Showcase of India's Semiconductor Ambitions
India on the Path to Becoming a Global Semiconductor Hub: Major Investments, Strategic Policies, and Green Energy Initiatives
For Investors, nothing is More Important Than Better Laws and Governance
Atal Residential Schools to Open in 57 Districts: Sarju Ram
Trade Show: Changing and Developing Uttar Pradesh's Story Explained Through Models
Not Just a PIN Code, Now Your Address Will Also Be Known by a 10-Digit 'Digi PIN'
Indigenous System Developed for Accurate Drone Tracking
Benefit of Digitization: Software to Block Registration in Case of Land or Property Dispute
IISc Develops Game-Changing 'Brain-on-Chip' Technology
Three-Quarters of Consumers Would Stop Using UPI If Transaction Charges Are Imposed
Important Changes Affecting Savings, Life Insurance, E-commerce, and the Stock Market Ahead of the Festive Season
ADB Maintains India's Growth Forecast at 7%
Adani Group to Enter Aviation Sector in Partnership with Bombardier
GST Disputes to be Resolved Quickly
Lower Settlement Amount for Applications Submitted by December 31
The Country's GDP Will Reach 10 trillion Dollars by 2032
Seven Countries Using UPI, 45% of Total Digital Transactions in India
Number of People Earning More Than ₹10 Crore Annually Increases
Rising Financial Pressure on States Due to Subsidies and Free Schemes
India's Strong Foundation Reflects Positive Economic Growth Outlook
Industrial Production Growth Rate Slows Down
Online and Credit Card Transaction Rules May Change to Prevent Money Laundering
Credit Guarantee for Small Businesses to Increase to ₹5 Lakh Crore
PM Internship Scheme to Focus on Economically Weaker Sections
Priority for GSCC in Financial Assistance for Providing Jobs to Youth
Accident Compensation Claims to be Settled Within One Year
Now Apply for Drug License through the e-Aushadhi Portal Only
Mumbai and Kolkata Ranked Among World's Best Cities for Liveability
Becoming Parents Today is Extremely Challenging and Stressful
Amar Preet Singh Appointed as New Chief of the Air Force
Vande Bharat’s Advantageous Cost and Speed
Vande Bharat’s Success Abroad: Several Countries, Including Canada, Express Interest in Purchasing the Trains
Make in India Transforms Defence Production Sector
Logistics Costs to Drop to Single Digit in Five Years: Gadkari
Investigation into the Death Case Due to Work Pressure at EY
86% of Women in UP are Running Businesses on Their Own
Initial Trials of India's Light Tank 'Zorawar' Successful
Import Duty Increased on Crude and Refined Oils
PM-E-Drive Scheme to Boost the Number of Electric Vehicles
Industrial Growth Provides Employment to 8.5 Lakh Youths
Strict Action Against Defaulting Builders: Yogi
Government to Receive ₹400 Crore GST from Shriram Temple Construction
No Toll for Journeys Up to 20 km on Satellite-Based System
Delay in Salaries of Hundreds of Employees Due to HDFC Bank’s Negligence; Irresponsible Behavior of Bank Manager
August Rainfall Expected to Lower Food Prices and Inflation
Homebuyers Entitled to Refunds if Promised Amenities Are Missing: NCDRC
Consumer Affairs Ministry Addresses Airline Refund Delays
PM Modi Advocates for Tougher Cyber Fraud Laws
"Employees Should Not Hesitate to Declare Their Property Details"
राधिका-अनंत के साथ एंट्री लेगा फ्लैश मॉब, 60 डांसर करेंगे शादी में परफॉर्म, इंटरनेशनल स्टार्स भी शामिल
Lok Sabha Election 2024: क्या है मुस्लिम बजट जिसका PM ने किया जिक्र? छिड़ गया विवाद
RBI के प्रोग्राम में बोले पीएम मोदी,'ये सब ट्रेलर था, शपथ लेते ही धमा-धम काम आने वाला है'
Gautam Adani on Hindenburg: 'बदनाम करने की थी साजिश, एक साल बाद हिंडनबर्ग रिपोर्ट पर अडानी ने तोड़ी चुप्पी
मुकेश अंबानी ने अब इस सेक्टर में रखा कदम, रिलायंस और डिज्नी के बीच हुई बड़ी डील
आज कई राज्यों में पेट्रोल-डीजल के घटे दाम, जानिए महानगरों का ताजा अपडेट
तेल कंपनियों ने अपडेट किए पेट्रोल-डीजल के नए रेट, यूपी में कीमत हुई कम
Farmer Protest 2.0 : आंदोलन से पंजाब के कारोबारियों को हो रहा करोड़ों का नुकसान, दिल्ली के पर्यटन उद्योग पर भी असर
Paytm Payments Bank : RBI के एक्शन के बाद पेटीएम फाउंडर का बयान, कहा हर आदेश का होगा पालन
Petrol Diesel Price : आज नोएडा में 41 पैसे महंगा हुआ पेट्रोल, जानिए अपने शहर का अपडेट
Petrol-Diesel Price: पेट्रोल-डीजल की नई कीमतें हुई जारी, जानें फटाफट अपने शहर में क्या हैं कच्चे तेल के दाम?
Ayodhya Ram Mandir : राम मंदिर में विराजमान हुए भगवान श्रीराम, जानिए रामलला के आभूषण की खासित
Train Fare Concession:वरिष्ठ नागरिकों को फिर मिल सकती है रेलवे किराए में छूट? रेल मंत्री अश्विनी वैष्णव ने दिया नया अपडेट
Petrol - Diesel price: 12 जनवरी के लिए पेट्रोल डीजल के नए रेट जारी, जानें क्या है आज एक लीटर तेल की कीमत?
Parliament Budget Session 2024: 31 जनवरी से होगा संसद के बजट सत्र का आगाज, वित्त मंत्री अंतरिम बजट करेंगी पेश
Petrol Diesel Price: पेट्रोल–डीजल की कीमतें हुई जारी, जानें अपने शहर में एक लीटर कच्चे तेल की कीमत
Budget 2024 : जानिए देश का बजट पेश करने की क्या है प्रक्रिया, सितंबर से शुरु हो जाती है तैयारी
भारत में सबसे ज्यादा सोना किसके पास है, 25 हजार टन सोने का मालिक कौन, जानें सब कुछ...
Budget 2024 : जानिए कौन हैं भारतीय बजट के जनक, कब पेश किया गया पहला केंद्रीय बजट
RBI News : भारतीय रिजर्व बैंक ने KYC नियमों में किया बदलाव, अब आसानी से मिल जाएगा लोन
Indigo Unsafe Food: यात्री को परोसा गया कीड़े वाला सैंडविच, इंडिगो पर मानक प्राधिकरण ने जारी किया नोटिस
RBI के पास वापस आए 97.38 फीसदी 2000 रुपये के नोट, बैंक ने दी जानकारी
Petrol Diesel Price : नए साल पर कच्चे तेल के दाम में आई गिरावट, जानिए पेट्रोल और डीजल के ताजा रेट
Explainer : जानिए अमृत भारत एक्सप्रेस में सफर करना कितना होगा महंगा, ट्रेन में होगी आरामदायक सीट
FirstCry IPO : FirstCry कंपनी का जल्द आएगा आईपीओ, पूरी हिस्सेदारी बेचेंगे रतन टाटा
BharatGPT : रिलायंस जियो जल्द लॉन्च करेगा BharatGPT, जानिए क्या है कंपनी की तैयारी
Reliance Disney Deal : रिलायंस और ओटीटी प्लेटफॉर्म Disney के बीच हुई डील, अब बनेगी नई एंटरटेनमेंट कंपनी
Add-on Credit Cards: ऐड-ऑन क्रेडिट कार्ड का गलत इस्तमाल से हो सकता है आपको नुकसान
Petrol –Diesel price: फिर से बदले कच्चे तेल के दाम, जानें अपने शहर में बदलते पेट्रोल और डीजल के रेट
Train Cancelled List : भारतीय रेलवे ने आज कई ट्रेनों को किया रद्द, इन ट्रेनों के बदले रूट
Petrol Diesel Price: पेट्रोल और डीजल के दामों में आया बदलाव, जानें अपने शहर में कच्चे तेल की कीमत
Wedding Season : इस वेडिंग सीजन में कई सेक्टर के बिजनेस में होगी बढ़ोतरी, शेयर बाजार में आएगा उछाल
RBI News : भारतीय रिजर्व बैंक ने तीन बैंकों पर की कार्रवाई, 10 करोड़ रुपये की लगाई पेनल्टी
Petrol Diesel Price: गुरुवार को बदला फिर से पेट्रोल –डीजल का दाम, जानें अपने शहर में क्या हैं नए रेट
Byju's के सीईओ बायजू रवींद्रन की बढ़ी मुश्किलें, ईडी ने भेजा 9300 करोड़ का नोटिस
4 Trillion Dollar Economy: भारतीय GDP के 4 ट्रिलियन डॉलर के दावें पर बोली कांग्रेस - मोदी सरकार के चहेते बिजमैन और मंत्री ने...
Petrol Diesel Price: 20 नवंबर से पेट्रोल-डीज़ल की कीमतों में आएगा बदलाव, जानिए अपने शहर के दाम!
ChatGPT की कंपनी OpenAI ने CEO सैम ऑल्टमैन को नौकरी से निकाला, मची खलबली... जानें पूरा मामला
Chhath Special Trains: छठ महापर्व पर जाना चाहते हैं घर और नहीं मिल रहा कंफर्म टिकट, रेलवे चला रहा स्पेशल ट्रेन, जानिए पूरा शेड्यूल
Special Train : दिवाली-छठ पूजा में घर जाने में अब नहीं होगी परेशानी, दिल्ली से यूपी-बिहार के लिए चलेगी स्पेशल ट्रेन
Petrol Diesel Prices: पेट्रोल-डीजल की कीमतों में आया मामूली बदलाव, जानें क्या हैं इन शहरों में कच्चे तेल के दाम
Gold-Silver Rate : देश में सोने और चांदी के दामों में आया उछाल, जानिए लखनऊ से वाराणसी तक का अपडेट
Gold-Silver : आज सोने-चांदी की खरीदारी से पहले जान लें नए दाम, चांदी की कीमतों में आई गिरावट
Petrol-Diesel Price: कच्चे तेल की कीमत में हुई बढ़ोत्तरी, जानिए आपके शहर में कितना महंगा हुआ पेट्रोल-डीज़ल
Petrol Diesel Prices: पेट्रोल-डीजल के राज्यों और महानगर में जारी किए गए नए रेट, जानें अपने शहर में कच्चे तेल की कीमत
MS Dhoni-Jio Mart : रिलायंस और MS धोनी के बीच हुई बड़ी डील, जियोमार्ट के बने ब्रांड एंबेसडर
Gold And Silver : आज सोने-चांदी के दाम में आई गिरावट, लखनऊ में बदली चांदी की कीमत
Petrol-Diesel Price : यूपी के शहरों में पेट्रोल-डीजल हुआ सस्ता, जानिए अपने शहर का हाल
Indigo Airlines : दिवाली से पहले इंडिगो ने दी कर्मचारियों को सौगात, पायलट्स केबिन क्रू की बढ़ाई सैलरी
Air India: मनीष मल्होत्रा करेंगे एयर इंडिया के लिए नई यूनिफार्म को डिजाइन
तेल कंपनियों ने जारी कि आज के पेट्रोल-डीजल के नए दाम, जानिए कितने में मिल रहा है एक लीटर पेट्रोल
Bank Holidays In March 2023: मार्च में 12 दिन बैंक रहेंगे बंद, देखें लिस्ट
LPG Price Hike : होली से पहले आम आदमी को झटका, 50 रुपये महंगा हुआ घरेलू LPG सिलेंडर
Energy Crisis : इस वर्ष गर्मी के कारण बढ़ सकता ऊर्जा का संकट
आम आदमी को लगा बड़ा झटका, खुदरा महंगाई 6.52 फीसदी पर पहुंची
बांस की खेती से कमाएं लाखों रुपये, 4 साल में 40 लाख के मालिक बनने का मौका दे रही है सरकार
Layoffs Employees : बढ़ती महंगाई की वजह से कई कंपनियों ने कर्मचारियों को दिखाया बाहर का रास्ता
संकट भरे दौर में अडानी ग्रुप को मिली राहत, शेयरों में आई फिर से तेजी
अमेरिकी बाजार की तरफ से अडानी ग्रुप को लगा बड़ा झटका, डाऊ जोंस से बाहर होंगे शेयर
अडानी एंटरप्राइजेज का बड़ा बयान: एफपीओ (FPO) वापस लिया, निवेशकों को लौटाया जाएगा पैसा
बजट सत्र 2023: दोपहर 2 बजे तक स्थगित हुई दोनों सदनों की कार्यवाही
Budget 2023: बजट में टैक्सपेयर्स को मिली बड़ी राहत, 7 लाख इनकम तक कोई टैक्स नहीं
Budget 2023 : बजट में वित्त मंत्री की बड़ी घोषणा, जानिए बजट मे क्या सस्ता क्या महंगा
Bugdet 2023: निर्मला सीतारमण ने संसद में पेश किया आर्थिक सर्वेक्षण 2022-23
अडानी के 413 पेज के खंडन का हिंडनबर्ग ने जवाब दिया, "भारत का भविष्य अडानी समूह द्वारा रोका जा रहा है"
सीबीआई ने जीटीएल लिमिटेड के डायरेक्टरों और बैंकरों के ख़िलाफ़ 4760 करोड़ रुपये के घोटाले में केस दर्ज़ किया
IGI एयरपोर्ट से कस्टम टीम ने 4 करोड़ का सोना किया बरामद, 4 की हुई गिरफ्तारी
डॉलर के मुकाबले रुपये में आई 8 पैसे की तेजी
नहीं थम रही PAYTM शेयरों की गिरावट, निवेशकों के छूटे पसीने
आज ही ठीक कराए पैन कार्ड की ये गलतियां, नहीं तो बढ़ सकती है मुश्किलें
क्रेडिट कार्ड ग्राहकों के लिए खुशखबरी, बिना दुकान पर ले जाए कर सकेंगे पेमेंट
चेक के आहरण के बाद आंशिक भुगतान को 56 एनआई एक्ट के तहत चेक पर पृष्ठांकित किया जाना चाहिए: सुप्रीम कोर्ट
बिल्डर को लीज पर दी गई जमीन पर बने फ्लैट ट्रांसफर करने के लिए महाराष्ट्र सरकार की एनओसी की जरूरत नहीं': सुप्रीम कोर्ट ने सीनियर एडवोकेट अस्पी चिनॉय को राहत दी
आर्थिक पिछड़ापन अस्थायी हो सकता है, दूसरे पिछड़ेपन पीढ़ियों से जुडे़ : सुप्रीम कोर्ट ने ईडब्लयूएस केस की सुनवाई के दौरान कहा
भारत के नागरिकों के मौलिक अधिकार : यहाँ देखें मौलिक अधिकार संबंधी अनुच्छेद और उससे संबंधित सभी जानकारी
कृषि भूमि के पट्टे से संबंधित कोई भी राज्य अधिनियम एक विशेष कानून है : सुप्रीम कोर्ट ने दिल्ली भूमि सुधार अधिनियम की धारा 50 (ए) की संवैधानिक वैधता बरकरार रखी
डेथ पेनल्टी केस : क्या एक ही दिन में सजा सुनाना उचित है ? सुप्रीम कोर्ट ने मुद्दे को बड़ी पीठ को भेजा
ब्रेकिंग- सुप्रीम कोर्ट ने हरियाणा सिख गुरुद्वारा (प्रबंधन) एक्ट 2014 की वैधता को बरकरार रखा
पराली को लेकर देश के किसानों के लिए गुड न्यूज, अब मिनटों में तैयार हो जाएगा पूसा का डिकंपोजर घोल
मौसम
Tweets by uvindianews